Leistungen

Stegprothese
Das klassische Stegkonzept umfasst vier Implantate, um eine breite Abstützung und starken Halt zu erzielen sowie eine Kippwirkung der Prothese zu vermeiden. Die Stegkonstruktion verblockt die Implantate und stellt sicher, dass diese selbst bei einer direkten Sofortbelastung nach dem Einsetzen unbeweglich und stabil bleiben. Die herausnehmbare Zahnprothese weist basal einen Stegreiter mit Aussparungen auf, der passgenau auf den Steg gleitet. Optional wird dieser durch zusätzliche, einfach austauschbare Retentionselemente wie Preci-Vertix-Matrizen oder auf dem Steg aufgeschraubte Locatoren unterstützt. Stegprothesen kommen bei der Versorgung des Unter- als auch des Oberkiefers zum Einsatz und sind als Teilprothese oder implantatgetragene Vollprothese realisierbar.
Eine Stegprothese ist ideal, wenn sich Patient:innen nur vier Implantate leisten möchten, auf eine herausnehmbare Lösung setzen und sich zügig eine endgültige und voll belastbare Zahnprothese mit hoher Lebensdauer sowie eine optimale Herstellung von Ästhetik und Kaufähigkeit wünschen. Empfehlenswert ist die Stegprothese, wenn im dorsalen Oberkieferbereich kein Sinuslift mit Einbringung von geeignetem Knochenersatz und langfristiger Heilung möglich oder erwünscht ist und sich der Restzahnbestand sehr reduziert oder stark angegriffen zeigt. Durch die Verblockung der Implantate per Steg findet kein weiterer Knochenabbau aufgrund von Überlastung statt.
Vorteile der Stegprothese
- Bewährte, sichere Methode eines herausnehmbaren Zahnersatzes auf Implantaten Basis oder als zahngeführter Steg, selbst bei Knochenschwund im hinteren Kieferbereich
- Fester Halt der Prothese auf dem Steg, funktionell wie festsitzende Zähne
- Schnelle, endgültige Sofortversorgung
- Einfache Handhabung für Patient:innen
- Keine Gaumenplatte im Oberkiefer nötig, daher optimales Mundgefühl, keine Beeinträchtigung von Geschmacksempfinden und Sprache
- Kein weiterer Knochenabbau aufgrund von Überlastung
- Graziler Steg mit viel Platz für die ästhetische Versorgung
- Möglichkeit des ästhetischen Ausgleichs bei starker Kieferatrophie durch zahnfleischfarbene Prothesensattel inklusive Unterfütterung
- Einfacher und kosteneffizienter Austausch der Retentionselemente bei Verschleiß des Stegreiters
- Parodontal Hygienisch eine saubere Lösung bei guter Reinigung Toleranz
Nachteile der Stegprothese
- Aufwendige Herstellung für Dentallabore, da hohe Material- und Arbeitskosten
- Teuer für Patient:innen (zählt nicht zur Regelversorgung der Krankenkassen)
- OP erforderlich bei Implantaten
- Mögliches Fremdkörpergefühl, Stichpunkt: Prothesen Gefühl
- Schwierige Reinigung des Stegreiters, evtl. Verbleib von Speiseresten unter der Prothese, professionelle Zahnreinigung empfehlenswert
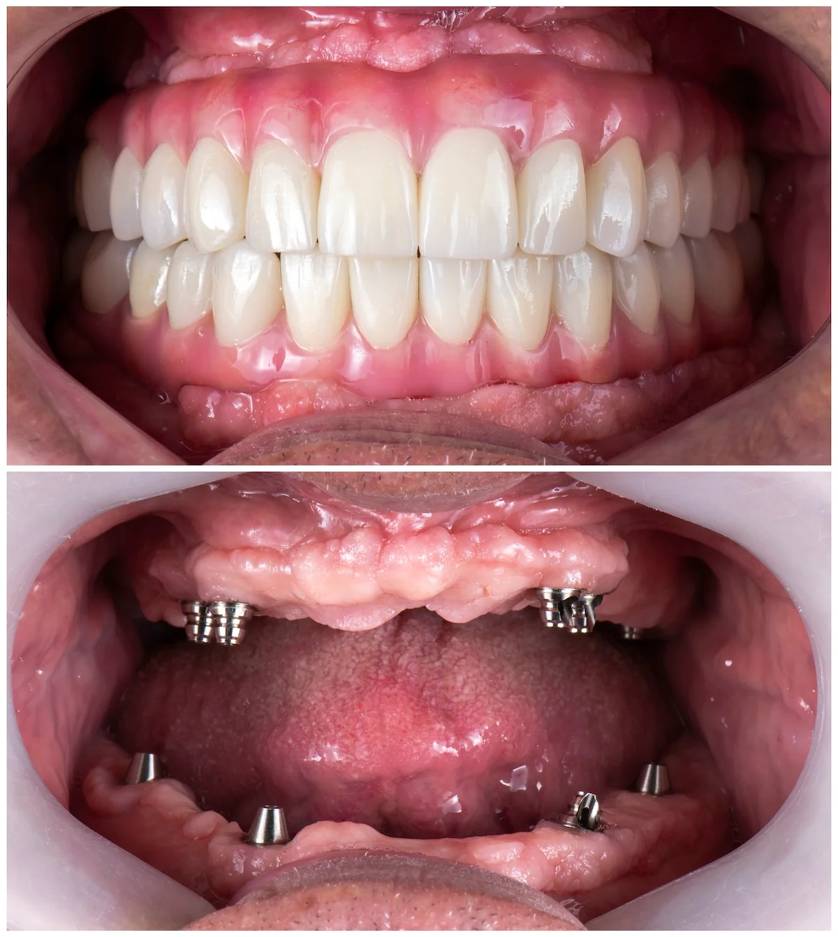
All on 4
Der Begriff All-on-4, auch bekannt als All-on-Four , bezieht sich auf die Lagerung aller Zähne auf vier Zahnimplantaten. Der Name All-on-4 ist eine eingetragene Marke von Nobel Biocare und wird weltweit für Dentalprodukte und -dienstleistungen verwendet. Das Behandlungskonzept umfasst ein prothetisches Verfahren zur vollständigen Rehabilitation zahnloser Patienten oder von Patienten mit stark beschädigten, kariösen oder durch Zahnfleischerkrankungen beeinträchtigten Zähnen. Es umfasst die Rehabilitation des zahnlosen oder bezahnten Ober- und/oder Unterkiefers mit festsitzendem Zahnersatz durch die Platzierung von vier Implantaten im vorderen Oberkiefer, wo die Knochendichte höher ist. Die vier Implantate tragen einen festsitzenden Zahnersatz mit 10 bis 14 Zähnen.
Dabei wird eine gefräste Titanstegstruktur an die Zahnimplantate angefügt, die die Implantate auch nach dem Bruch der Hybridbrücke vor Versagen schützt. Dieses Konzept ermöglicht dem Zahnarzt eine langlebigere Lösung als eine Umbauprothese, die eine Reparatur am Behandlungsstuhl und eine modifizierte Prothese erfordert. All-On-Bar reduziert die Anzahl der Termine und macht die Umbauprothese überflüssig, indem es durch eine langlebige Hybridbrücke ersetzt wird. Manche Patienten entscheiden sich aufgrund ihres geringeren Budgets oder des begrenzten Platzes für andere endgültige Lösungen für diese Option.


Intraoraler Scanner
Der Intraoralscanner bietet mehrere Vorteile, darunter eine schnellere und komfortablere Abformung für den Patienten, eine höhere Präzision und Genauigkeit bei den Scanergebnissen, sowie die Möglichkeit, digitale Farbbestimmungen durchzuführen.
Komfort und Geschwindigkeit:
Die digitale Abformung ist für den Patienten angenehmer und schneller als herkömmliche Methoden.
Bessere Ergebnisse:
Der Intraoralscanner liefert präzisere Ergebnisse, die die Qualität der zahnmedizinischen Versorgung verbessern.
Visuelle Unterstützung:
Die Patienten können die Ergebnisse der Scan- und Diagnosetechnologie des Intraoralscanner besser verstehen.
Die digitale Abformung ermöglicht einen schnelleren und effizienteren Workflow, der Zeit und Ressourcen spart.
Weniger Hygieneaufwand:
Die digitalen Abformungen reduzieren den Aufwand für die Reinigung und Desinfektion.
Cad-CAM Kronen
CAD/CAM Zahntechnik bietet zahlreiche Vorteile, darunter erhöhte Präzision, kürzere Behandlungszeiten, und ein komfortableres Patientenerlebnis. Die digitale Abformung und automatische Herstellung ermöglichen eine schnellere Fertigstellung mit Zahnersatz.
Vorteile für Patienten:
- Kein unangenehmer Abdruck: Die digitale Abformung ersetzt den traditionellen Abdruck mit Abdruckmasse, was den Würgereiz und Unannehmlichkeiten vermeidet.
- Kürzere Behandlungszeit: Die CAD/CAM-Technologie ermöglicht eine schnelle und effiziente Herstellung von Zahnersatz, oft in nur 2 Sitzungen.
- Höhere Präzision und Passform: Die digitale Konstruktion und automatische Herstellung gewährleisten eine präzise Passform des Zahnersatzes, was zu einer besseren Funktion und Haltbarkeit führt.
- Erheblicher Komfort: Patienten können sich entspannt und ohne unangenehme Erlebnisse in der Zahnarztpraxis behandeln lassen.


Guided Implantation
Die guided Implantation, auch computergestützte Implantologie genannt, bietet zahlreiche Vorteile gegenüber herkömmlichen Implantationsmethoden. Dazu gehören eine erhöhte Präzision, verbesserte Planung, weniger operative Trauma, kürzere Heilungszeiten und eine hohe Vorhersagbarkeit des Ergebnisses.
Genaue Implantatplatzierung: Die computergestützte Implantologie ermöglicht eine hochpräzise und genaue Positionierung der Implantate in allen drei Dimensionen. Dies gewährleistet eine optimale ästhetische und funktionelle Wiederherstellung.
Reduzierte OP-Dauer und Trauma: Durch die präzise Planung und Führung werden die chirurgischen Eingriffe deutlich reduziert, was zu kürzeren Behandlungszeiten und weniger Trauma für den Patienten führt.
Minimalinvasive Technik: Die geführte Implantatchirurgie ermöglicht oft eine minimalinvasive Behandlung, einschließlich Flapless Surgery (kein Gewebeschnitt) und kann somit den Heilungsprozess beschleunigen.
Geringere Komplikationen: Die präzise Implantatplatzierung und die minimalinvasive Technik reduzieren das Risiko von Komplikationen wie Nervenschäden oder Knochenaufbauten.
Individualisierte Behandlung: Die computergestützte Planung ermöglicht eine individuelle Anpassung der Implantatpositionierung an die spezifischen Bedürfnisse des Patienten.
Sichere und zuverlässige Ergebnisse: Durch die präzise Planung und Ausführung der Implantation werden die Chancen für ein erfolgreiches und langanhaltendes Ergebnis erhöht.
Zusammenfassend lässt sich sagen, dass die computergestützte Implantologie einen großen
Inlay – Onlay
Inlays und Onlays bieten zahlreiche Vorteile gegenüber herkömmlichen Füllungen. Sie zeichnen sich durch hohe Haltbarkeit, ästhetische Anmutung und die Schonung der natürlichen Zahnsubstanz aus. Inlays und Onlays sind besonders gut geeignet für mittelstarke bis starke Schäden am Zahn, die mit einer Füllung nicht wirksam behandelt werden können, aber keine Vollkrone erfordern.
Vorteile von Inlays und Onlays:
- Haltbarkeit:Inlays und Onlays sind deutlich haltbarer als herkömmliche Füllungen. Sie bestehen aus hochwertigen Materialien wie Keramik oder Komposit, die dem Zahn besseren Halt und eine höhere Widerstandsfähigkeit bieten.
- Ästhetik:Inlays und Onlays können farblich genau an den natürlichen Zahn angepasst werden, wodurch sie kaum sichtbar sind.
- Schonung der Zahnsubstanz:Bei der Herstellung von Inlays und Onlays muss weniger gesunde Zahnsubstanz entfernt werden als bei einer herkömmlichen Füllung.
- Funktionalität:Inlays und Onlays sorgen für eine präzise Passform und einen reibungslosen Biss.
- Reduziertes Risiko von Brüchen:Inlays und Onlays sind weniger anfällig für Brüche als herkömmliche Füllungen.
- Hohe Verträglichkeit:Die Materialien, aus denen Inlays und Onlays hergestellt werden, sind in der Regel sehr gut verträglich.
Ästhetisch, zahnfarben, farbbeständig, sehr gut verträglich.
Inlays und Onlays werden in der Regel im Seitenzahnbereich eingesetzt, um mittelstarke bis starke Schäden zu versorgen. Sie können auch verwendet werden, um abgebrochene Zahnstücke zu reparieren.

.webp)
Digitale Abformung
Digitale Zahnplanung bietet zahlreiche Vorteile für Patienten und Zahnärzte. Sie ermöglicht eine höhere Präzision, schnelleren und komfortableren Behandlungsprozess, und eine verbesserte Kommunikation zwischen allen Beteiligten. Die digitale Abformung reduziert zudem unangenehme Erfahrungen wie Würgereiz während der Abformung.
Vorteile für Patienten:
- Höhere Präzision:Digitale Modelle sind genauer als traditionelle Abformungen, was zu besser sitzenden Zahnrestaurationen führt.
- Komfort:Kein Würgereiz, unangenehmer Geschmack oder Angst vor der Abformung, da kein Abdruckmaterial verwendet wird.
- Schnellere Behandlungen:Die Abformung ist schneller als mit traditionellen Methoden, und die Anfertigung des Zahnersatzes kann teilweise am selben Tag erfolgen.
- Transparenz:Die digitale Visualisierung erleichtert die Kommunikation zwischen Zahnarzt und Patient und ermöglicht eine bessere Visualisierung des Behandlungsplans. Individuelle Anpassung:
Die digitale Planung ermöglicht eine genaue Anpassung des Zahnersatzes an die individuelle Anatomie des Patienten.
Weniger Anpassungsarbeiten:
Die präzise Planung reduziert die Notwendigkeit von Anpassungen und Proben, was Zeit spart.
Brücke
Eine Zahnbrücke bietet mehrere Vorteile. Sie ist kostengünstiger als Zahnimplantate, weniger kompliziert in der Herstellung und kann eine gute Alternative sein, wenn benachbarte Zähne ohnehin behandelt werden müssen. Brücken bieten auch eine gute Kaufunktion und sind ästhetisch ansprechend.


Kronen
Eine Zahnkrone bietet mehrere Vorteile. Sie schützt und stabilisiert Zähne mit signifikanten Substanzverlusten, wodurch der Zahn gerettet und Zahnverlust vermieden wird. Zahnkronen sitzen fest im Gebiss, halten hohen Belastungen stand und sind bei farblicher Anpassung ästhetisch ansprechend. Sie können auch die Funktion eines Zahns wiederherstellen und ihn vor weiteren Schäden schützen.
Implantatgetragene Brücken
Zahnimplantate bieten eine langfristige, stabile Lösung, da sie fest im Kieferknochen verankert werden und die natürlichen Zähne nicht beschädigen.
Vorteile:
- Lange Haltbarkeit, bei richtiger Pflege können Implantate ein Leben lang halten.
- Feste Verankerung im Kieferknochen, was eine stabile Zahnstellung und Kaufähigkeit gewährleistet.
- Beugen Knochenschwund vor, da die Implantate die Knochenstimulation unterstützen.
- Natürlicheres Aussehen, da Implantate wie echte Zähne aussehen und fühlen.
- Bieten eine Option, wenn der Kieferknochen nicht ausreichend ist oder eine herkömmliche Brücke nicht möglich ist.
Vorteile:
- Feste Verankerung der Brücke durch Implantate, was eine hohe Stabilität und Haltbarkeit bietet.
- Schonen die Nachbarzähne, da sie nicht als Stützpfeiler benötigt werden.
- Eignen sich gut für größere Zahnlücken, bei denen herkömmliche Brücken nicht möglich sind.

.webp)
Mundhygiene
Eine professionelle Mundhygienebehandlung, auch bekannt als professionelle Zahnreinigung (PZR), ist eine zahnärztliche Dienstleistung, bei der Zahnbeläge, Zahnstein und Verfärbungen von Zähnen und Zahnzwischenräumen gründlich entfernt werden. Ziel ist es, die Zahngesundheit zu erhalten und Karies sowie Zahnfleischerkrankungen vorzubeugen.
Eine Mundhygienebehandlung dauert in der Regel zwischen 30 und 60 Minuten.
Die Behandlung ist in der Regel schmerzfrei, kann aber bei empfindlichen Zähnen als unangenehm empfunden werden.
Bei Bedarf kann vor der Behandlung eine Betäubungssalbe oder -spritze verabreicht werden.
Es wird empfohlen, die professionelle Zahnreinigung 1-2 Mal pro Jahr durchführen zu lassen.
Nach der Behandlung sollte für kurze Zeit auf das Essen und Trinken verzichtet werden, da die Zähne empfindlich sein können.
Eine gute Mundhygiene zu Hause, einschließlich regelmäßigen Zähneputzens, der Verwendung von Zahnseide und einer Zungenreinigung, ist wichtig für die Zahngesundheit und sollte durch die professionelle Zahnreinigung ergänzt werden.
Bleaching
Eine Zahnaufhellungs-Behandlung, auch bekannt als Bleaching, wird durchgeführt, um gelblich verfärbte Zähne wieder in ein strahlendes Weiß zu verwandeln.
Neueste Hochleistungs-LED-Technologie mit fokussiertem, intensivem blauem Lichtspektrum.
Effektive Zahnaufhellung in nur 3–4 × 15 Minuten – bequem in einer einzigen Sitzung.



.webp)